【新唐人北京時間2022年12月29日訊】中國疫情大爆發,重症和死亡病例激增,多國專家擔憂可能出現新型毒株。與此同時,中共打開國門,反而呼籲外國政府「科學防疫」不要設限防護。
浙江居民:「現在這個發熱門診,想排都排不到。」
上海華山醫院就診者家屬:「我兒子是每天發燒,連續三天都是39.5°C 、39.3°C ,退燒藥吃了一點用都沒有,現在在昏睡,到現在還沒吊上針,他們說會照顧的,只要來藥,馬上給我吊上去。」
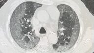
雖然中共極力掩蓋疫情,但感染人數激增,重症和死亡病例大量湧現,特別是不少患者出現了「白肺」現象,與奧密克戎感染上呼吸道的情況不符。而中共衛健委的闢謠,則是加深了人們的相關猜測。
中共國家衛健委醫政司司長焦雅輝:「現在出現的這個所謂的『白肺』,與武漢當時的原始毒株,和疫苗接種是沒有關係的,並且當前的流行優勢毒株,仍然是奧密克戎毒株。」
多國專家已經開始推斷,中國可能會出現更具危險性的新型變種病毒。
美國聖路易斯華盛頓大學流行病學家齊亞德·阿爾阿里(Ziyad Al-Aly — 美國之音):「中國的感染人數,在短時間內激增,升高了出現新變異株的概率,我們還沒有看到,但可能性在急遽增加。」
外界也在擔憂,如果出現新的、更具危險性的毒株,是否會引起新一輪大流行。而中共閉關鎖國三年後,在疫情洶湧下大開國門,宣布1月8日起,恢復中國公民出境旅遊。消息嚇壞各國政府,馬來西亞、日本、印度、意大利等國,相繼宣布,加強對來自中國旅客的檢疫防範等,美國則是最新跟進的國家。而中共政府繼續雙標,只准自己政治掛帥「收放自如」,不准他國設限。
中共外交部發言人汪文斌:「中方始終認為,各國防疫措施應當科學、適度,不應影響正常的人員交往。」
另外大陸和香港也將恢復正常通關,有香港媒體呼籲港府防範疫情倒灌,而在中國社交媒體平台,已經出現去香港免費接種疫苗的攻略,引起香港醫護界的擔憂,屆時大陸「疫苗團」湧入,可能加劇公共財政負擔。
新唐人電視台記者宇亭綜合報導























