【新唐人北京時間2025年11月24日訊】
中國流感疫情凶猛 多地學校停課
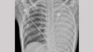
中國「流感」傳播迅猛,各地不斷傳出因學生大面積感染流感而停課的消息。11月21日,中共疾病預防控制中心人員在記者會上向媒體介紹流感疫情時稱:當前,主要流行株是甲型H3N2亞型,但也有甲型H1N1亞型和B型流感共同流行。
在11月10日至16日這一週內,全國至少發生了955起「流感樣病例爆發疫情」,而且各地的流感活動還在上升,疫情目前已進入快速上升期。
監測數據顯示,確診的流感病毒感染案例中,99.1%為甲型流感。
不過,來自民間的消息顯示,大陸各地疫情蔓延的狀況,比中共官方所描述的情況更加嚴重。
有廣州的學生家長反映,自家孩子所在班級裡,生病請假的學生人數幾乎佔全部人數的一半,班級已經因此停課。
深圳的一些學生家長也反映說,這波流感太凶猛,孩子班裡生病請假的人很多,已收到了學校發來的停課通知。
網上也有很多帖子反映,周圍病例很多,感覺新冠又回來了。
83歲法輪功學員趙文秀被監獄迫害致死
四川83歲高齡的法輪功學員趙文秀,今年3月左右在成都龍泉驛女子監獄被迫害致死,但消息最近才傳出來。
據明慧網11月21日報導,趙文秀是一名善良的農村婦女,1995年修煉法輪大法後,折磨了她多年的一身頑疾就不翼而飛,她從此身體健康,精神矍鑠。
2019年3月,她因講法輪功受迫害真相,被四川瀘縣海潮派出所警察綁架,之後構陷罪名關押,並被非法判刑七年半劫持到成都龍泉驛女子監獄迫害。今年三月,在獄中被迫害致死。
趙文秀被非法關押之前,身心健康。由於中共封鎖消息,目前還無法知道她在獄中遭受到了怎樣的摧殘。
本文網址: //www.ansado.com/b5/2025/11/23/a104040954.html



























